科普|病毒不只是以前那样微小,现在科学界还发现了一种巨型病毒
法国科学家日前宣布,一种巨型病毒的基因组图谱绘制完成。这种病毒名叫“米米病毒”,是法国地中海大学微生物专家,于1992年在英国布拉德福镇的一个冷却塔抽取样本中发现的,当时,该专家认为它不过是一种细菌,没有引起注意。2003年,法国马赛医学院的狄德·罗尔特和吉恩·米切尔,在研究导致“军团病”的“军团菌”时,再次发现了这种病毒。由于当时正是“非典”流行时期,因此他们对“米米病毒”备加关注。
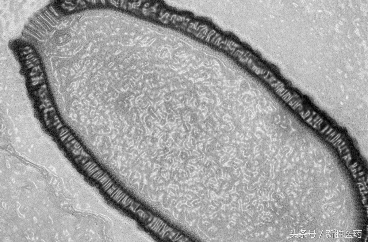
研究发现,“米米病毒”寄生在水生单细胞动物阿米巴变形虫中,是病毒界里的“大怪物”,直径可达800纳米(nm,1nm=1/1000000mm),而一般病毒的大小只有10~100纳米,即便是较大的病毒,如天花病毒,直径也只有300纳米。“米米病毒”的英文全称是Mimicking microbe virus,意思是“酷似细菌的病毒”。由于其巨大的“身型”几乎与一些小型细菌大小相当,因而在2003年被各国媒体大肆宣传。然而随着两位科学家对“米米病毒”基因组进行深入的研究,一系列新的发现更加令人惊讶。

基因组图谱
新绘制出的基因组图谱表明,“米米病毒”的DNA包含约1260个基因,并且有50个基因编码,它具有一些在其他病毒中没有发现的功能,例如DNA修复以及将信使核糖核酸(mRNA)转化为蛋白质的能力。此外,它还能自行制造150种蛋白质。
一般来说,病毒不能算是活的生物体,因为它们体积小、结构简单,与能够独立生活的细菌不同,病毒必须寄生在生物细胞中,不能独立繁殖。虽然这种“米米病毒”也不能独立繁殖,但研究者认为,从“米米病毒”的基因序列来看,它很可能曾经拥有独立繁殖的能力。后来虽然失去了这种能力,但到现在还保留许多自我复制所必须的“装备”。因此,这种病毒可能会被划分成一种独特类型的生物。
生物学研究
“米米病毒”基因组图谱绘制的完成,将有助于解释复杂生命是如何在地球上出现的。
研究者将“米米病毒”的基因组与一系列其他生物体的基因组进行对比后推断,“米米病毒”的家世可以回溯到约33亿年前。当时,地球上早期的生命形式正在逐渐分化为原核生物与真核生物。早在1977年,美国伊利诺大学微生物学家卡尔·伍斯将生物分为真核生物、古细菌与真细菌3个基本大类。真核生物是有细胞核的生物,与细菌相比更为复杂,动植物都是真核生物。由于“米米病毒”的某些基因与真核生物的基因很相似,因此它有可能为寻找真核生物的起源提供线索。
一些科学家认为,“米米病毒”是地球上已知三种生命形式以外的第四种新的生命形式,可能与33亿年前地球第一批生命形式同时出现。罗尔特教授指出:“根据基因序列分析,有足够的基因信息证明‘米米病毒’是第四种生命形式。如果这一发现最终得到证实,那将是生物学的一个重要里程碑。”当然,也有人对“米米病毒”属于新生命形式的观点表示怀疑,认为它不过是病毒家族中的一位特殊成员。

生命形式
“米米病毒”基因奥秘的揭示,让人产生诸多联想:除第四种生命形式外,自然界的生命形式还有多少种?地球上的生命都由核酸和蛋白质组成,但这是否是生命存在的惟一形式?是否存在基于其他化学基础发展起来的生命? 这一系列问题无疑是对生物学家的巨大挑战。
著名科普作家阿西莫夫在他所写的一篇名为《并非我们所认识》的文章中提出,宇宙中可能存在6种生命形态,即以氟化硅酮为介质的氟化硅酮生物、以硫为介质的氟化硫生物、以水为介质的核酸蛋白质生物、以氨为介质的核酸蛋白质生物、以甲烷为介质的类脂化合物生物、以氢为介质的类脂化合物生物。 其中,以水为介质的核酸蛋白质生物,便是人们所熟悉也是惟一所认识的生命。
然而,科幻作家对此仍不满足,他们在各自的作品中充分发挥想象,为人们创造出一些更不可思议、但细想之下又似乎不无道理的生命世界。一些作家设想,在某些极寒冷的星球上,可能存在着以液体氦为基础,并以超导电流相互联系的生命形式。另一些作家则幻想,即使在寒冷黑暗的太空深处,亦可能有一些由星际气体和尘埃组成,并由无线电波传递神经信号的高等智能生物。
最为有趣的是著名科幻作家福沃德所写的《龙蛋》一书,这部构思出色的作品描述了一颗中子星表面的生物。这颗中子星表面引力相当于地球引力的670亿倍,磁场是地球的1万亿倍,表面温度达到8000多摄氏度。在如此恶劣的环境下,生存着一种由“简并核物质”组成的生物。所谓“简并”,是指原子外部的电子被挤压入原子核,因此所有原子都可以十分紧密地靠在一起,形成超密物质。中子星上的这种生物身高约0.5毫米,直径约0.5厘米,体重却有70公斤。此外,这些生物的新陈代谢基于核反应而并非化学反应。
虽然人类对是否存在外星文明尚无定论,但简单的外星微生物却可能有迹可寻,因为处于生命初级阶段的微生物,对环境的要求远没有高级的智慧生命那样苛刻,这一点从对地球微生物的考察中就能得出结论。地球上已发现的嗜热菌、嗜冷菌、嗜碱菌、嗜酸菌、嗜盐菌、嗜压菌等极端微生物,构成了地球生命形式的独特风景线。
在智利最干燥的阿塔卡马沙漠中,在南极洲的千年冰架下,在几千米深的海底,在水温高达250摄氏度的热泉口,科学家们发现了形形色色的与世隔绝的细菌。它们生命力之顽强,令科学家惊叹不已。 它们生命的潜能,与地球上其他生命的潜能几乎完全不同。正是这些不同向人们暗示,除发现的生命形式外,地球可能还存在着更多的生命形式。