儿童急腹症:睾丸附件扭转的超声图像

辛瑞,战略支援部队特色医学中心(原306医院),超声诊断科
医研部医学科普中心 刘燕/崔彦 编辑
睾丸附件扭转临床表现
睾丸附件扭转少儿多见,8~13岁为高发组,成年人极少见,症状酷似睾丸扭转,相对于睾丸扭转通常症状较轻,易与急性睾丸附睾炎和睾丸扭转相混淆,术前诊断率<20%。超声诊断是睾丸附件扭转首选检查。
正常睾丸附件解剖
睾丸附件是胚胎发育过程中Muller氏管和Wolf氏管残留体,卵圆状或管状结构,内含小血管,疏松结缔组织,或呈囊状,内充满胶冻样物质。正常成人中,附件显示率80%,幼儿不易显示。在鞘膜积液中,附件在阴囊蠕动或外力作用下常可飘动。

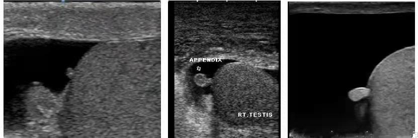
睾丸附件

附睾附件

按附件附着部位分类:睾丸附件,附着于睾丸上极,约占45%;附睾附件,附着于附睾头,约占40%;迷走小管,睾丸纵膈和附睾尾部,约占10%;旁睾,精索末段,临床上睾丸附件及附睾附件多见,后两者不能在影像上显示。
睾丸附件扭转的常见原因
(1) 形态有关:卵圆形有蒂附件,体积大,易发生扭转,正常长径范围约2.5~14 mm。
(2) 附着部位:附着于附睾周围的附件,旋转时其体部易嵌入附睾窦而扭转。
(3) 精索及睾丸鞘膜覆盖异常时,活动度大,增加扭转机率。
(4) 外力作用,冲击、剧烈活动等。
睾丸附件扭转的超声图像及表现

超声表现主要为:①患侧阴囊壁水肿,附件肿大,回声欠均或不均;②扭转的附件位于附睾头旁、睾丸上极或附睾头与睾丸上极之间,以后者多见;③附件附着处轻度肿大,回声增强,附着处组织血供增多,而附件内无血流信号;④扭转后可发生囊性变、钙化、脱落。
超声因其无创、快捷、准确、可重复性强等优点,成为诊断该病的最佳检查方法,诊断睾丸附件扭转超声须探及直接征象,结合病史、症状、体征,诊断率可大大提高。
(部分配图来源于网络)
标签:
172
“战略忽悠局局长-张召忠”到底什么来头? 。 张召忠是中国知名度最高的军事评论家,没有之一。与大部分正襟危坐、训练有素、老是在军事节目里低头看稿的嘉宾不同,张召忠语言...
144
重庆高校宿舍条件大曝光,你认为哪所大学环境更好? 重庆2021年高考录取已接近尾声了,相信很多考生都已经拿到大学录取通知书,等待着9月的开学了吧! 开学之前,你了解过自己学...
136
肖战和哇唧唧哇解约?从龙丹妮手下逃脱第一人!粉丝都高兴坏了 今年引爆整个夏天的热门剧当然是陈情令,而这部电视剧给大家带来的最大惊喜无疑就是肖战,他把魏无献这个角色演...
207
网红老哥:面筋哥表情包合集 面筋哥,原名程书林,河南信阳人,现在已经44岁了,笔名林梦解,是一个流浪歌手,坚持自己创作歌曲,目前和著名的音乐人孙书林联手,他的合作朋友...
197
儿时过年的记忆 重拾儿时过年的情景,脑海里装的满满的回忆。那时的家虽然简陋但温暖,生活虽然艰辛但甜蜜。孩子们过年穿新衣,戴新帽,吃饺子,放鞭炮,是大年里最快乐的事情...
188
20岁颜丙涛从19岁打到20岁,墨菲:他是个现象级球员 2000年2月16日出生的山东小将颜丙涛,在斯诺克威尔士公开赛半决赛中,从当地时间2月15日一直打到16日,跨越了自己的19岁到20岁。...
82
印度能超越中国吗?四个方面已经超越了! 印度近年来在全球舞台上崭露头角,引发了人们对于印度是否有能力超越中国的热议。实际上,印度在至少四个方面已经取得了超越中国的重...
150
火车取消站台票,接送服务要跟上 建言 目前,包括郑州火车站和郑州东站在内,全国所有火车站均已停售站台票。铁路部门称,这是出于对旅客安全及乘车秩序的考虑。但这一变化却...
177
黑色衣物爱粘毛,简单几招让黑色衣物焕然一新 在进入到冬季之后黑色的毛呢大衣真的随处可见,就是因为它非常的百搭,但黑色的衣服容易粘毛,而且一旦黏到了毛或者灰尘非常明显...
207
党史学习丨《歌声献给党》:100首红色经典歌曲,庆祝建党100周年 《歌声献给党》 上海音乐学院出版社 《歌声献给党——女声篇》 胡晓娟 主编 《歌声献给党——男声篇》 赵 勇 主编...
93
被问何时会离开大本营,谢娜回答很真实 快乐大本营算是我们国内首档做得最成功的综艺节目了,刚开始的是铁三角李湘、何炅,那个时候的维嘉还只是外场的主持人。 后来谢娜在2...
136
西方牛人传-克里斯·詹娜,卡戴珊姐妹母亲,卡戴珊家族缔造者 十年树木,百年树人。 前人栽树,后人乘凉。 卡戴珊家族现在是美国炙手可热家喻户晓的家族。 卡戴珊姐妹们的父亲叫...
809
微信消息延迟,原来是这4个原因导致,教你一招快速解决 微信接收信息延迟,我相信大部分人都碰到过这种情况,也就是说当手机有微信信息提醒的时候,打开微信需要等待一段时间...
94
什么样的女人是白虎,什么样的男人是青龙,君知否? 在我国历史上,如果有人想形容一个女子彪悍,大多数时候都会用母老虎这三个字。虎这种动物在历史上与女人相关,而龙大多与...
110
DNF:一阵雨韩服玩的5个角色,装备打造很强,同职业排名第一 一阵雨在韩服玩了诸多角色,装备都打造成第一的程度,不过,却无法跟国服相比。要知道,韩服一身红13,就可以当同职...
79
15张迪拜的富豪日常,让你感觉他们是疯狂地球人,在盲目拜金 好像迪拜总是和金子有关联,美女的时尚有镶金牙。 黄金跑车。 黄金手机。 大金锭。难道他们有黄金崇拜? 养什么宠物...
371
中国断交8个国家名单一览 1、圣多美和普林西比(非洲) ,1975年7月12日,中国与圣普建交。1997年5月6日,圣普宣布同台湾当局进行所谓“建交”;7月11日,中国政府宣布自即日起中止...
208
什么是隧道炉?它有哪些用途? 相信不在工业范围内工作的小伙伴们对隧道炉的了解是比较陌生的,但是由它生产出来的一些东西都是手边随手就可能会用到的,接下来小编就带领大家...
1389
三本女主重生后悔弥补男主的小说,都很好看哦 下面的书籍都是女主重生前愧对男主的爱,重生后弥补宠爱男主的小说,希望大家喜欢。 第一本小说:《重生爱上安子迁》 白沁七岁时...
212
粉蒸鱼,鲜香麻辣,味道浓郁醇厚,非常好吃 导语:今天小编要分享的这道美味就是粉蒸鱼。这道粉蒸鱼,我家已经吃了20多年了,味道鲜美,营养丰富。说到粉蒸,首先想到的是粉蒸...