六旬大叔被“天下第一痛”折磨5年,吃饭都不香了
吃饭、喝水、说话、刷牙……这些在常人看来轻松无比的动作,对于63岁的刘大叔来说却是艰难无比。面部肌肉稍微动一动,就痛得“龇牙咧嘴”、眼泪直流。折磨得刘大叔如此痛苦的正是那号称“天下第一痛”的三叉神经痛。
63岁的刘大叔家住清远。大概从5年前起,开始出现右侧下颌痛。不发作的时候没事,但稍不留神就诱发疼痛,像是被电击,有时几秒就能缓解,有时是几分钟。后来刘大叔在当地医院诊断为三叉神经痛,开始口服药物治疗。起初,服药后,刘大叔面部疼痛发作的次数减少了。
随着时间推移,刘大叔自觉右侧面部疼痛的范围扩大了,由右侧下颌扩散到右侧上下颌。近1年,发作时整个右侧面部都会痛,发作的频率也在增加。“经常就在吃东西的时候突然发作,还有喝水、刷牙、洗脸等等这些动作都可能会诱发,太难受了!”
前段时间,在朋友的介绍下,刘大叔来到广东三九脑科医院神经外六科治疗。
我院神经外六科主任吴杰根据患者的情况及检查结果,考虑患者三叉神经痛的诊断明确。

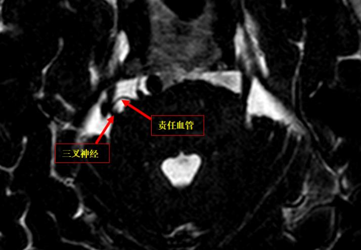
▲术前头颅MRI:右侧三叉神经经颅内段外上缘示一较粗血管影伴行,邻近并示一小血管骑跨走行,关系密切。
考虑到患者接受药物治疗无效,建议手术治疗。神经外六科团队决定在全麻下为患者实施右侧三叉神经微血管减压术。
吴杰介绍,微血管减压术是目前对于该病首选的手术方式,手术通过探查颅内三叉神经走行区,将可能的压迫血管、蛛网膜条索进行分离、松解,并用垫片将责任血管与神经根进行隔离,刺激产生根源随即消失,疼痛即可缓解,手术后效果显著,且持久。
术中,手术医生发现三叉神经上方与下方分别有一静脉与动脉压迫,这是导致患者面部疼痛的原因。医生分别将动静脉血管从神经上松解开,并用棉片垫开,解除压迫。
手术过程顺利。术后,刘大爷恢复良好,面部疼痛症状完全消失,已顺利出院。
三叉神经痛是发生于面部三叉神经分布区的剧烈疼痛,以第二、三支发病最为多见。吴杰解析,此病常因微血管压迫三叉神经并持续刺激所致。疼痛常突发、突止,呈电击样、刀割样等顽固性疼痛,患者常自诉疼痛难以忍受,说话、刷牙、洗脸等活动时均可诱发。治疗方法主要以药物治疗和手术治疗为主。轻症的患者可以服药治疗,当药物治疗无效时可以根据情况选择微球囊压迫术或微血管减压术。
标签:
154
蜡笔小新:小新的原型曝光,一个凄惨的故事,你能接受真相? 蜡笔小新不只在日本国内,就连中国也有许多资深的粉丝。蜡笔小新的剧情虽然简单,但是百看不腻。这部番有一股神奇...
123
slipper什么意思 slipper什么意思 slip,滑到、失足(行走时不小心跌倒)。 Caution! Or you may slip! er,常见的名词后缀,表示人或物,更多例子还有:upper, transformer, locker, etc. slipper,室内穿...
208
29款军人专用头像送给你,当以吾辈之青春,护我盛世之中华 定制头像点击这里 定制头像点击这里...
76
章龄之称白天和胡歌谈情说爱,演起对手戏来还是尴尬 电视剧《猎场》郑秋冬“胡歌饰演”和正准备结婚的熊青春“万茜饰演”终于闹拜拜了。又和一枚女友贾衣玫“章龄之饰演”谈起...
177
小宋佳图集...
116
死亡之岛,一幅细思极恐的名画 这是一幅细思极恐的名画。看似平平无奇的小岛,却处处透漏着诡异的气息。 我们仔细看,岛上全是高耸入云的柏树,这在西方文化中象征着哀悼,所...
162
群头衔名称唯美古风6个字 有创意逗比群头衔整理 相爱是一种缘分,暗恋是一种痛苦,曾听人说过,即使离开,还有那属于自己的回忆。今天小编带来 群头衔名称唯美古风6个字 ,一起...
150
你见过狐狸山吗?今年过年就去吧 在内蒙古治区阿拉善盟的额济纳旗有座山形酷似狐狸的山,跨越了内蒙古和河南省 传说千万年前,有一只修仙狐狸,有年此地大旱,土地干裂,农民...
84
魁拔十二妖-幽弥狂 幽弥狂 神圣联盟一个战斗小分队的头目,他的五人小队都是无纹耀的白身,这是神圣联盟决不允许的。在暗杀魁拔的战斗中其他人全部遇难,他们战功显赫却被拒绝...
123
恐惧瞬间!12岁男孩雨中玩伞被闪电击中(图) 阿根廷的波萨达斯日前发作惊险一幕,一名12岁小男孩不听妈妈的劝,撑了一把伞在暴雨中玩耍。 他先是在房檐下领会房顶排水孔里流出...
119
又一款自拍神器!vivo Y67A入网工信部 安卓中国2月9日消息,近日一款型号为vivo Y67A的手机被工信部曝光,从参数上看该机是一款中端手机,主打自拍。 外观方面,vivo Y67A与其它vivo中端...
122
齐三磊被拘!锦州打人事件详情曝光,巴扎黑连麦道歉 前日在巴扎黑的婚礼活动上,快手吃货主播大胃王阿浩的妹妹遭到某位“大哥”的骚扰,阿浩出面维护却遭群殴,身上还留下了被...
123
朋友圈“18岁什么梗”到底是什么梗?这都能上热搜! 今早突然发现朋友圈纷纷晒出了#18岁什么梗# 还配上自己18岁的靓照。 真想知道朋友圈的#18岁什么梗#到底是什么梗? 终于,90后的...
204
跑步机上显示的卡里路,千卡、大卡怎样区分?别傻傻不知道了! 最近收到健身小伙伴发来的邮件,询问在健身房跑步机跑步时,上面显示的卡路里数字到底是卡、千卡还是大卡?她自...
97
连巴神为了梦想都不来中超!大牌们羞愧了吗? 如今,中超联赛的金元政策已经得到了世界的瞩目。除了知名主帅,大牌球员更是不断来到中国,胡尔克、奥斯卡、保利尼奥等人的到来...
105
李咏究竟得了什么癌症? 根据目前的消息报道,李咏罹患的应该是喉癌,就诊的医院是全球最顶尖的梅奥诊所。 喉癌顾名思义,就是发生在人咽喉部的癌症。喉癌症状主要为声嘶、呼...
149
刚学绘画的时候要画点啥?绘画初学者如何进步? 如何学习绘画?刚学绘画的时候要画点啥?绘画初学者如何连续?学习绘画难吗?怎样才能学好绘画?想必这些都是绘画初学者们经常...
164
细雨分享|自己动手丰衣足食-自制手膜教程 现在网上有很多自制手膜教程,不过有一些太麻烦,需要原料太多,今天个大家分享一个用料简单只要20分钟就可以完成的自制手膜方法!...
169
提取公积金自助操作流程,手机上就能搞定 对于一名工作十年左右的职员来说,取出公积金也是一笔不小的数目,可用于改善和提高生活质量。那么提取公积金的流程是怎样的呢?看懂...
176
什么是纹发际线 纹发际线是指通过纹发技术进行修复和重建的发际线,旨在改善因脱发、发际线后退等原因导致的头发稀疏和不规则的问题。这项技术的目标是模拟自然生长的头发,使...