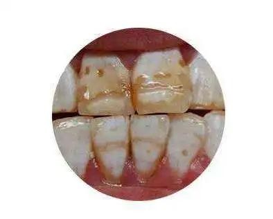
牙齿上出现白斑,多半是要烂牙…
有些小朋友很爱喝可乐、雪碧...
家长一直不怎么放在心上
直到有一天牙面上出现了白斑
孩子的牙齿迅速龋坏
这时候家长才心急火燎地带孩子去看牙
这时候问题已经难以挽回...
所以这些白斑到底是怎么回事呢?
其实这很可能是牙齿矿化的表现
在科普之前
先来说说一种相似的牙齿疾病
叫做氟斑牙
它和牙齿矿化那样,会在牙面形成白斑

对症下药,才能药到病除!
牙齿脱矿和氟斑牙,都能造成牙齿出现白斑
但是,我们应该如何区分这两者呢?
看完这篇文章,你就知道!
氟斑牙的成因
氟斑牙是一种慢性氟中毒在牙齿中的表现,由于在牙齿在发育过程中,有高氟地区的生活史,过量的氟聚积在牙齿里面,形成了黄褐色或白色的斑块。


我国许多地区饮用水氟含量都高于正常值,东北、山西、陕西、山东、内蒙古、河南、云南、贵州等地区都是氟斑牙发生率较高地区。饮用水中的氟浓度越高,氟斑牙就越严重。

当人过了牙齿发育矿化的时期,也就是人在8岁以后,水中的氟含量再高也不会引起这种牙齿病变。但如果不加以治疗,这样的白斑就会跟着人的一生。
牙齿脱矿的成因
严重的脱矿,除去先天的因素,其中的一大原因,就是长期饮用碳酸饮料造成的。
饮料中的酸融化牙齿表面的牙釉质,早期的牙面形成小面积的白斑,如果不加以治疗,矿化会持续不断地进行,中期牙齿的透明度会不断下降,白斑会变成灰白色。

还有一种不那么严重的脱矿,是因为口腔中的致龋菌分解蔗糖产酸,而酸造成牙齿脱矿。牙齿不断矿化,形成龋洞。
牙齿脱矿和氟斑牙的症状区别
氟斑牙:氟斑牙的人在儿童期有高氟区生活史,而且左右牙通常对称发生。面积较大,白斑表面坚硬。
牙齿脱矿:正常情况下,釉质表面光滑,饱满有光泽。当牙齿脱矿的时候,下降变为灰白色,如果要进一步发展,出现黄褐色或暗棕色斑块,最终形成釉质龋洞。
还是不清楚它们的区别?看下图表格:

氟斑牙的治疗
① 烤瓷冠/全瓷冠
在牙齿上套个更加美观的牙冠。重度的氟斑牙和缺损严重的牙齿更加适合这个方法。

② 3D超薄瓷贴面
如果牙齿没有较大的缺损,而只是色泽不佳,建议采用这种方法,可达到近乎完美的效果,坚固耐用,风靡全球的美齿黑科技。

牙齿脱矿的治疗
在白斑还不严重的初期,需要促进牙齿表面的再矿化:
①日常生活中避免牙齿接触酸性物质。
②每日认真刷牙,使用含氟牙膏、护牙素。
③前往医院进行专业的涂氟处理。
一旦白斑已经变为黑棕色的斑块,牙齿已经形成了龋洞了,一定要马上到专业的口腔机构进行补牙哟~
标签:
187
南京警方公布钱宝网案详情:非法集资300亿元 已无兑付能力 中新经纬客户端2月2日电 据江苏省南京市公安局官方微博2日消息,南京警方向社会通报“钱宝网案件”的最新调查情况。据...
80
加入中国国籍的几个外国人,致敬 1.陈必娣:美国 陈必娣从小在加拿大出生长大,后来移居到美国。1933年至1938年她在奥尔根大学学习,期间以交换生的身份于1936年至1937年到中国广州...
120
主打沉浸式婚礼,“喜园”要为沈阳种下一片“魔幻森林” 昨日,记者来到位于沈阳市大东区观泉路116号,喜园婚礼文化综合创意产业园(以下简称“喜园”)进行采访。据了解,“喜...
192
烟台大学生专属旅游指南:3天2夜高性价比玩法! 作为大学生,旅行既要玩得尽兴,又要省钱省心!烟台这座滨海城市,既有历史韵味又有青春活力,以下从交通、景点、美食到拍照打...
144
叙利亚大变局,是美国霸权雪崩的开始,以色列的悲惨结局参考二战 在审视叙利亚的最新政治地形图时,我们发现,总统巴沙尔·阿萨德的离任并未带来预期的和平与秩序,反而导致了...
156
楚青:十五岁从军,令粟裕一见倾心,苦追三年方得,后93岁去世 粟裕大将,是开国十大将中排名第一位的大将。早在井冈山时代,粟裕就是机枪连的连长。经过长达二十多年的战争,...
190
让人笑到浑身抽搐的搞笑图片,每一张都十分搞笑 如果你感觉生活枯燥乏味,来看我吧。 我每天都将为你带来不一样的趣味搞笑图片,让你开怀大笑,笑容不断。 精彩的还在后头,一...
185
雷雨或阵雨,风力较大!山东最新天气预报! 预计4日白天全省大部地区天气晴转阴 夜间有雷雨或阵雨 5日下午开始受冷空气影响 我省中北部地区有雷雨或阵雨 南风转北风 风力较大 气...
161
风箱 民间有句歇后语:老鼠钻到风箱里——两头受气。 风箱到底是个什么东西呢?现在的年轻人是没有见过的,但凡出生于20世纪六七十年代农村的人,绝大部分人应该是再熟悉不过了...
170
【致敬公安英雄】林杰:为剿匪捐躯的公安烈士 在湖南省武冈市(原武冈县)烈士陵园,一座高大的青灰色花岗岩墓碑上书写着一行遒劲的大字:为剿匪捐躯之中国共产党员武冈县人民...
185
周琦体测数据太恐怖,不逊姚明超KG阿联!入骑士辅佐詹皇? 赴美国参加2015年篮球峰会的周琦,体测数据曝光。他的身高为2米18,体重94.8公斤,臂展2米29,站立摸高2米91。看得出除了...
128
兴隆大家庭2024年11月1日宣布破产,债务谁来买单 2024年11月1日,一则消息在财经界掀起巨浪,兴隆大家庭,这个曾被誉为商业巨舰的企业,突然宣布破产。一夜之间,巨额债务悬空,曾...
175
为什么当代年轻人不愿意回家?专家称:压力矛盾太大! 当代不少年轻人和父母长辈的矛盾已经成为这个社会普遍的事实。 年轻人抱怨长辈不理解自己,也从来不支持自己,父母也同...
119
通辽市科左后旗最佳旅游线路推荐 悠悠蓝天,清清湖水, 跟着我们的脚步, 来邂逅一下科左后旗的诗情画意吧! 第一条线路是以国道304线为轴,经阜新市阿尔乡镇进入科左后旗境内,...
152
人死后,真的会重新投胎转世吗? 人死后真的会重新投胎转世吗?死后会发生什么,几个世纪以来,人类一直在寻求答案。 如果死亡不是终点,有没有可能是从一种状态到另一种状态...
54
辽宁新高考之综合评价招生 综合评价招生是指高校招生录取时,综合考量考生高考成绩、高校考核结论、高中学业水平测试成绩、综合素质评价以及高校自身培养特色要求等多个维度的...
150
金·卡戴珊裹着透明裙庆生,玲珑又紧致,66岁妈妈被黑人男友呵护 当地时间10月21日晚间, 金·卡戴珊 出现在加利福尼亚州卡拉巴萨斯的街头,从汽车上下来后,向围观的人群摆了摆手...
103
江苏徐州五地国土空间总体规划批复:绘就区域发展新蓝图。 近日,江苏省政府正式公布了关于丰县、沛县、睢宁县、新沂市、邳州市国土空间总体规划(2021-2035年)的批复,标志着这...
109
北京前门步行街游玩全攻略 鲜鱼口 鲜鱼口胡同是北京著名胡同,鲜鱼口胡同东西走向,由前门大街进口一直到东口崇文门大街,一般传说是“门到门,三华里”,是北京民俗市井商业...
157
浙江省民航机场一览(含2019旅客吞吐量) 杭州萧山国际机场 杭州萧山国际机场 (IATA代码:HGH;ICAO代码:ZSHC)位于杭州市萧山区,距市中心27公里,为4F级民用运输机场。杭州萧山国...